The English encyclopedia Allmultimedia.org will be launched in two phases.
The final launch of the Allmultimedia.org will take place on February 24, 2026
(shortly after the 2026 Winter Olympics).


Dovolená : 23. prosinec 2025 — 29. prosinec 2025
Holidays : December 23, 2025 — December 29, 2025

Žaludek

Z Multimediaexpo.cz

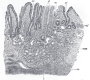
Řez lidským žaludkem

Žaludek (řecky gaster nebo stomachos; lat. ventriculus) je vakovitý, dutý orgán, který je součástí trávicí soustavy a jehož funkcí je mechanický (peristaltické pohyby) a chemický (enzymatická úprava) rozklad tráveniny. Dále zpracování, smíšení a promíchání potravy před jejím přesunem do střeva.

Stavba žaludku se může u různých druhů podstatně lišit. Rozeznáváme žaludky jednokomorové a vícekomorové, kde jsou vytvořeny předžaludky, jako například u skotu. Podle typu sliznice uvnitř samotného žaludku rozlišujeme žaludek jednoduchý a složitý. Složitý žaludek, jaký mají kůň nebo prase, má uvnitř dva typy sliznice – žláznatou a bezžláznatou. Jednoduchý žaludek masožravců a člověka je vyplněn pouze žláznatou sliznicí. Lidský žaludek je tedy jednokomorový jednoduchý žaludek.

Obecně lze říci, že býložravci mají mnohem složitější žaludek (vůbec celou trávicí soustavu) než masožravci.

Žaludek u přežvýkavců: slez (abomasum)

U přežvýkavých živočichů se vlastní žaludek, jenž navazuje na předžaludky označuje jako slez (latinsky: abomasum). Stavbou se výrazně neliší od žaludku jiných druhů s jednoduchým žaludkem. U skotu má objem 10–20 litrů, u ovce a kozy 2–3 litry. Sliznice je žláznatá a produkuje pepsin a HCl, tvoří spirální řasy.

Má hruškovitý tvar. Sliznice produkuje žaludeční šťávy, které obsahují trávicí enzymy pepsin, chymosin, žaludeční lipázu a HCl.

Související články