The final launch of the Allmultimedia.org will take place on February 24, 2026
(shortly after the 2026 Winter Olympics).
Anthrax
Z Multimediaexpo.cz
Anthrax, jinak též sněť slezinná nebo uhlák je onemocnění způsobované baktérií Bacillus anthracis. Primárně se jedná o onemocnění hospodářských zvířat, zejména hovězího dobytka, nicméně může způsobovat těžké onemocnění i u člověka. Jedná se o častou náplň biologických zbraní.
Obsah |
Původce nemoci a historie
Dnes víme, že původcem anthraxu je Bacillus anthracis, grampozitivní tyčinkovitá bakterie , která je schopná vytvářet endospory. K tomuto zjištění však vedla dlouhá cesta. V roce 1758 vyslovil švédský vědec Carl Linné domněnku, že původcem je tzv. furia infernalis neboli ďábelská bestie, což měl být nitkovitý červ se zakřivenými ostny po těle. Tato domněnka se ovšem nepotvrdila. Ve 40. letech 19. století zkoumal ve městě Wipperfürthu německý doktor Aloys Pollender pod mikroskopem krev krav zasažených snětí. Objevil tak tyčinkovitá tělíska dlouhá 5 až 11 mikrometrů a o průměru asi 0,7 mikrometru. Jednalo se o první cíleně objevené mikroby. Spojitost tělísek s anthraxem byla však v následných diskusích částečně zpochybňována. Tělíska pozoroval znovu v roce 1863 pařížský lékař Casimir Davaine, který je nazval „bacteridies“; později z tohoto názvu vznikl obecný pojem bakterie. V 70. letech 19. století se anthraxem začal zabývat německý lékař Robert Koch, který tehdy působil na pruském Poznaňsku. 30. ledna 1876 se mu podařilo vypěstovat původce v moku z volského oka a poté detailně popsal životní cyklus bakterie. Při výzkumu použil průkopnicky mj. mikrofotografii. Zjistil, že mikroby v nepříznivých podmínkách vytváří spóry, které jsou velmi odolné a mohou přečkat dlouhou dobu v nepříznivých podmínkách. Na výsledky Roberta Kocha navázal Louis Pasteur, když náhodou zjistil, že nákaza oslabeným bacilem chrání kuřata před další nákazou. Opatřil si od Kocha kulturu bakerií, se kterou pak prováděl pokusy, a po dvou letech výzkumu se mu podařilo prokázat účinnost očkování, kterou potvrdil při veřejném pokusu v květnu 1881. Anthrax se tak stal první chorobou v dějinách, proti které bylo možno očkovat uměle oslabenou kulturou původce samého, a druhou chorobou, proti které bylo vynalezeno očkování (první byly pravé neštovice).
Přenos nemoci a prevence
Anthrax je vysoce infekční a přenáší se alimentární cestou, kůží přes oděrky nebo skrze dýchací soustavu. Prevenci představuje očkování, omezování rozšíření této nemoci mezi dobytkem, vyhýbání se podezřelému dobytku ad.
Průběh a příznaky choroby
Choroba se v souvislosti se způsobem vstupu jejího původce do organismu může rozvinout ve tři možné varianty:
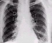
Plicní anthrax
Plicní anthrax se vyznačuje vysokou úmrtností, bez lékařského zákroku končí téměř vždy smrtí. Aby byl lékařský zásah úspěšný, vyžaduje včasnou diagnózu. Příznaky se podobají nejdříve silné chřipce, pak silnému zápalu plic. Léčba probíhá za pomoci silných dávek antibiotik. Letální dávku představuje 10–20 tisíc spor, inkubační doba se pohybuje mezi jedním a několika dny. V anglicky mluvících zemích se tato nemoc může někdy nazývat Wool-sorters' disease (nemoc třídičů vlny), český ekvivalent je „hadrářská nemoc“.
Střevní anthrax
Střevní anthrax vzniká průnikem choroby do organismu skrze trávicí soustavu. Způsobuje vážnou infekci žaludku a střev, která je bez lékařské pomoci smrtelná ve 25–60 % případů. Projevuje se mimo jiné krví ve stolici a zvratcích. I zde se vyžaduje pro úspěšnou léčbu antibiotiky včasná diagnóza.
Kožní anthrax
Kožní anthrax (dal nemoci jméno uhlák) vzniká, byla-li vstupní bránou infekce kůže. Prvním projevem bývá svědivé místo nebo půchýř tmavší až černé barvy v místě infekce (inkubační doba je přibližně 1–2 týdny), tzv. pustula maligna. Posléze se objevují velké, nebolestivé a nekrotické vředy. Bez lékařského zásahu končí nemoc ve 20 % případů smrtí. I v tomto případě mohou být prodlevy nebezpečné. Léčba je stejná jako v předchozích případech – antibiotiky.
Anthrax v historii
Anthrax dříve představoval obrovský problém z hospodářského i lékařského hlediska. Přinášel obrovské ztráty zemědělcům na dobytku a půdě (tzv. prokleté louky na desetiletí zamořené anthraxem) a tisíce úmrtí pro zaměstnance dobytkářských farem a jatek. Systematickým bojem proti této nemoci se ji podařilo potlačit natolik, že se dnes vyskytuje jen jako endemitické onemocnění divoce žijící zvěře na několika málo místech na světě (například v Řecku). Zároveň se ale anthrax stal vděčnou surovinou pro výrobu biologických zbraní.
Anthrax jako biologická zbraň
Anthrax je vhodný pro použití v biologických zbraních pro svou relativně jednoduchou kultivovatelnost a výdrž jeho spor. Biologickou zbraň na bázi anthraxu použila japonská armáda v Číně. Považuje se za prokázané, že biologické zbraně na bázi anthraxu hromadně vyráběl SSSR. V továrně na výrobu tohoto typu zbraní ve Sverdlovsku (dnes Jekatěrinburk) došlo roku 1979 k úniku vyráběných spor, jejímž následkem byla epidemie anthraxu mezi obyvateli města. Počet mrtvých se odhaduje mezi 60–600 lidmi (SSSR celou záležitost ututlal a zamaskoval jako nákazu z jídla, materiály k tomuto případu buď nikdy neexistovaly, nebo se ztratily). Každopádně se považuje za prokázané, že se jednalo o únik spor z výrobny biologických zbraní, což později potvrdila i výpověď Kanatjana Alibekova, osoby č. 2 ruského biologického zbrojního programu. Množství spor anthraxu vyrobených v rámci ruských zbrojních programů se odhaduje v řádu stovek tun. Více naleznete v článku Sverdlovský incident. O výrobu zbraní na bázi anthraxu se pokoušel Irák, jak daleko ve svých snahách postoupil není jasné. Anthrax jako biologická zbraň je obvykle používán ve formě spor vhodných pro přenos vzdušnou cestou. Do biologických zbraní se používají buďto běžné kmeny, nebo i kmeny speciálně vyšlechtěné či geneticky upravené. U druhé skupiny lze očekávat neúčinnost očkování proti běžným kmenům, vážnější průběh onemocnění a zvýšenou odolnost proti antibiotikům obvykle nasazovaným proti anthraxu.
Anthraxové dopisy
Krátce po útoku na WTC a Pentagon 11. září 2001 byl v USA použit při rozesílání tzv. anthraxových dopisů, které způsobily 17 infekcí a vyžádaly si 5 lidských životů. Mezi recipienty tzv. anthraxových obálek[1] v té době patřili například politici či novináři (první obětí byl redaktor the Sun, Robert Stevens). Antraxový poplach ke konci října 2001 opanoval i budovu Kapitolu,[2] v době důležitého hlasování o výnosu PATRIOT Act bylo několik budov mimo provoz. Kromě District of Columbia byly zaznamenány též případy ve státu New York a Florida.[3][4] Použitý anthrax byl americké výroby (tzv. Aimes Stray), pocházel z vojenských laboratoří U.S.Army Medical Research Institute of Infectious Disease ve Fort Detrick ve státě Maryland.[5] Deník The Washington Post, který toto konstatoval, též dodal zprávu, která citovala z vládních zdrojů a rozvědných organizací, že žádná z oněch 60-80 hrozeb nedokazovala spojení s teroristickými organizacemi formátu Al-Káidy. Naopak, 26. října 2001 vydala ABC News článek, který použitý anthrax spojoval s Irákem.[6] Americký původ a výjimečnou kvalitu antraxu potvrdila o dva měsíce později i národní laboratoř Sandia, ale její vědci měli zakázáno tento závěr zveřejnit až do roku 2008.[7]
Externí odkazy
Reference
- ↑ Příklad anthraxové obálky směrované Thomasi Daschleovi – http://www.fbi.gov/pressrel/pressrel01/102301.htm
- ↑ http://www.ph.ucla.edu/EPI/bioter/anthraxscarecapitalhill.html
- ↑ Podrobnosti o jednotlivých případech v USA v roce 2001 – http://www.ph.ucla.edu/EPI/bioter/detect/antdetect_case1.html
- ↑ Seznam obětí anthraxu v USA podle deníku Guardian – http://www.guardian.co.uk/world/2001/nov/23/anthrax.uk
- ↑ The Washington Post, článek Anthrax Spores Surfaces, říjen 2001
- ↑ http://www.anthraxinvestigation.com/abc.html
- ↑ Vyšetřování antraxových útoků - konflikt vědecké pravdy s mocí
| Náklady na energie a provoz naší encyklopedie prudce vzrostly. Potřebujeme vaši podporu... Kolik ?? To je na Vás. Náš FIO účet — 2500575897 / 2010 |
|---|
| Informace o článku.
Článek je převzat z Wikipedie, otevřené encyklopedie, do které přispívají dobrovolníci z celého světa. |
