Foreground plně podporuje – RWD, HTML 5.0, Super Galerii a YouTube 2.0 !
Hypothalamus
Z Multimediaexpo.cz
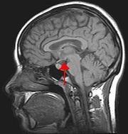
Hypothalamus (původní český název je podhrbolí, slovensky se někdy nazývá podlôžko) je částí mezimozku (diencephalon). Jeho činnost spočívá hlavně ve slaďování jednotlivých vnitřních orgánů do komplexní odpovědi. Například připravuje všechny orgánové soustavy na zvýšenou fyzickou, nebo psychickou zátěž.
Obsah |
Úvod
V hypothalamu se tvoří hormony antidiuretický hormon (vasopresin, ADH) a oxytocin, které jsou po neurosekrečních drahách dopravovány do neurohypofýzy, ze které jsou pak vyplavovány do krve. Dále uvolňuje soubor látek nazývaný hypothalamické uvolňovací faktory, které řídí činnost adenohypofýzy (hypofýzotropní hormony). Mimo jiné řídí hypothalamus pocity hladu, žízně, reguluje tělesnou teplotu, podílí se na kontrole emocí a sexuální aktivitě.
Anatomie
Hypothalamus vytváří přední stěnu a dno III. mozkové komory. Od thalamu ho odděluje sulcus hypothalamicus. V hypothalamu bylo popsáno 22 jader. Klasickou klasifikací se stalo dělení podle Le Gros-Clarka, kterým se řídí i členění podle Nomina Anatomica (1977).
Klasifikace podle Le Gros-Clarka
1. Dorzální oblast (regio hypothalamica dorsalis) – je tvořeno jedním jádrem nc. ansae lenticularis. 2. Přední oblast (regio hypothalamica anterior) – obsahuje preoptická jádra ncc. praeoptici medialis a lateralis, dále nc. suprachiasmaticus, nc. supraopticus, nc. paraventricularis, nc. hypothalamicus anterior. 3. Střední oblast (regio hypothalamica media) – má jádra nc. arcuatus, ncc. tuberales, nc. hypothalamicus ventromedialis, nc. hypothalamicus dosrsomedialis, nc. hypothalamicus dorsalis, nc. periventricularis posterior, nc. infundibularis. 4. Zadní oblast (regio hypothalamica posterior) – obsahuje jádra mamilárních těl ncc. corporis mammillaris mediales a laterales, nc. hypothalamicus posterior.
Spoje
Hypothalamické spoje tvoří ascendentní (vzestupná), descendentní (sestupná) a eferentní (odstředivá) vlákna, propojená s ostatními oblastmi CNS.
- Ascendentní vlákna sem přicházejí z míchy a z prodloužené míchy, buď přímo systémem pedunkulomamilárním (ta končí v corpus mammillare) nebo nepřímo přes thalamus.
- Descendentní vlákna přicházejí z čelní korového laloku (Brodmannova oblast 4 a 6), ze zadní orbitální kůry, z čichového mozku, z hipokampu přes fornix, z tractus opticus a amygdaly.
- Eferentní vlákna vycházející z hypothalamu jdou do:
- Thalamu a limbického systému, tím je hypothalamus spojen s čelní mozkovou kůrou.
- Vegetativních oblastí mozkového kmene a míchy prostřednictvím facilitačního retikulospinálního systému. (Prokázány byly přímé spoje hypothalamu s míchou).
- Hypofýzy skrze hypothalamo-hypofyzární svazek, který je tvořen dvěma částmi. První jde ze supraoptického jádra (supraoptickohypofyzární svazek) a druhou část tvoří svazek tuberohypofyzární. Nemyelinizovaná zakončení vláken tohoto svazku končí kolem kapilár neurohypofýzy.
Fyziologie a patofyziologie
Hypothalamus se podílí na řízení těchto funkcí
Hlad a příjem potravy
Hlad a příjem potravy ovlivňují dvě hypothalamická centra – centrum sytosti (v předostředním hypothalamu) a centrum potravové (v postranním hypothalamu). Mezi centry existuje funkční spojení. Signalizuje-li centrum sytosti nedostatek cukru (glukózy), aktivuje potravové centrum, v případě normální hladiny cukru však potravové centrum není drážděno nebo je dokonce aktivně tlumeno. Pocit hladu je výsledkem změn, které se odehrají v CNS (v hypothalamu) a charakterizuje ho touha po jídle, ale také hladové projevy – tj. hladové stahy (dříve považované za stahy stěn prázdného žaludku) a sekrece žaludeční šťávy.
Žízeň
Žízeň lze v pokusu vyvolat injekcí malé dávky hypertonického roztoku do oblasti paraventrikulárního jádra hypothalamu. Výsledkem je nadměrné pití (polydipsie) Také elektrická stimulace zadního hypothalamu mezi fornixem a mamilotalamickým svazkem vyvolá nadměrné pití, poškození této oblasti způsobí naopak nedostatečné pití (hypodipsii). Mechanizmus spočívá v přítomnosti osmoreceptorů v těchto oblastech hypothalamu, které reagují na změny osmotického tlaku v mimobuněčné tekutině.
Sexuální funkce
Při poškození zadního hypothalamu dochází k potlačení jednotlivých fází estrálního (estrogenálního) cyklu u ženy. Poškození v tuberální části má za následek znemožnění uvolnění vajíčka z vaječníku. Tato část je také nezbytná pro vznik ženského sexuálního chování, přičemž preoptická část naopak zabezpečuje mužské sexuální chování. Rozmnožování vyšších savců není bez integrační činnosti hypothalamu vůbec možné.
Sekrece působků
Oblast supraoptického jádra, v němž se tvoří hormon vazopresin (ADH, Antidiuretický hormon), obsahuje osmoreceptory, které reagují na změny koncentrací iontů v krevní plazmě a mimobuněčné tekutině. Uvolňování vazopresinu roste při dráždění supraoptickohypofyzárního svazku, což vede k většímu zadržování vody v ledvinných tubulech, na které vazopresin působí. Poškození supraoptické oblasti znamená vznik žíznivky (diabetes insipidus) a nadměrného pití, kvůli neshopnosti udržet vodu v organismu.
V nc. paraventricularis se tvoří oxytocin, který ovlivňuje děložní stahy (zesiluje je a stupňuje frekvenci), rozvolňuje vazivo v oblasti pánve při porodu a také zajišťuje výron mléka při kojení. Oba dva hormony – vazopresin a oxytocin – se dostávají podél axonů z hypothalamu do neurohypofýzy (její zadní části), kde se vážou na polypeptidy neurofiziny. V hypothalamických jádrech vznikají další neuropůsobky peptidové povahy, které jsou hypothalamo-hypofyzárním krevním oběhem dopravovány do adenohypofýzy (její přední části) a tam stimulují vlastní tvorbu hypofyzárních hormonů. Jejich označením je liberiny, tj. uvolňující (releasing) faktory. Mezi ně patří např. Tyroliberin (TRH-thyrotropin-releasing hormone), spouštějící sekreci thyrotropinu, dále Luliberin (LHRH – luteinizing-hormone-releasing hormone), který je uvolňujícím faktorem folikulárního hormonu FSH RH (folicle-stimulating hormone releasing factor), a proto se používá společný název GnRH (gonadotropin releasing-hormone factor) , dále somatostatin (SST, GHIF), který zastavuje tvorbu růstového hormonu, jeho antagonistou je somatokrinin, který naopak produkci růstového hormonu podporuje. Působků, které aktivují (liberiny) nebo inhibují (statiny) sekreci adenohypofyzárních hormonů je více. Mnemotechnická pomůcka: SOVA - nc.SupraOpticus (supraoptické jádro) produkuje VAzopresin a tedy to druhé nc. paraventricularis pak vylučuje oxytocin.
Řízení funkcí vegetativního nervstva
Stimulací předních jader hypothalamu navodíme tzv. parasympatický efekt – zrychlené dýchání, pocení, rozšíření průsvitu cév, což znamená lokalizaci parasympatického centra do této oblasti.
Stimulace zadních jader hypothalamu naopak vede k tzv. sympatickému efektu – svalové chvění, bušení srdce, zúžení průsvitu cév, vyplavení katecholaminů atd.
Termoregulace
Na udržování tělesné teploty se podílejí mechanismy vegetativní, somatické, endokrinní (vyplavování katecholaminů) a změny chování (např. „stočení se do klubíčka“ při chladu).Zadní hypothalamus řídí celkové reakce na chlad, přední pak na teplo. Pokud dojde k stimulaci předního hypothalamu, zrychlí se dýchání, dojde k rozšíření průsvitů cév a pocení – teplo je odváděno z organizmu pryč. Při jeho poruše dochází k přehřátí (hypertermii)- Stimulace zadní části hypothalamu naopak vede k chladovém třesu. Při jeho poškození klesá tělěsná teplota (hypotermie) Serotonin je přenašečem v tepelných centrech a noradrenalin v chladových. Tyto centra lze aktivovat z teplotně citlivých buněk předního hypothalamu, také z dostředivých podnětů z periférie – především z chladových receptorů v kůži. Při horečce mají tepelná centra nastavený práh citlivosti na vyšší teplotu.
Funkční změny
Stimulací posterolaterálního jádra hypothalamu vede ke změnám emotivity, např. k tzv. reakci zdánlivé zuřivosti (sham-rage). Hypothalamická jádra ve spolupráci s předními thalamickými jádry a s gyrus cinguli tvoří funkčně uzavřený okruh tzv. limbický Papézův okruh, který je nezbytný pro vznik emocí a jejich projevů.
Literatura
- Mysliveček, Jaromír; Myslivečková-Hassmanová, Jarmila: Nervová soustava - Funkce, struktura a poruchy činnosti, vydalo Avicenum, Praha 1989.
|
| Náklady na energie a provoz naší encyklopedie prudce vzrostly. Potřebujeme vaši podporu... Kolik ?? To je na Vás. Náš FIO účet — 2500575897 / 2010 |
|---|
| Informace o článku.
Článek je převzat z Wikipedie, otevřené encyklopedie, do které přispívají dobrovolníci z celého světa. |
